Desde hace muchos años he sabido que la concentración de mercurio en los peces excede los niveles permitidos para la salud en las personas, de hecho, siendo un metal pesado que lleva muchas décadas incorporado en nuestros cuerpos (A principios de 1800, el uso de la pasta de Hg/plata como material de obturación dental se popularizó en Francia y el Reino Unido (Inglaterra en particular) y fue “exportada” a los Estados Unidos de América (USA) en los años 1830.) 1.
La exposición a mercurio constituye una intoxicación crónica la cual afecta todo el ecosistema viviente, desde las plantas, hasta nosotros los primates humanos, en su paso por el agua, ríos, lagunas, mar, arrastra a los abismos del sufrimiento todo ser vivo. Hablamos de: Intoxicación Mercurial Crónica (Hidrargirismo) por empastes dentales de amalgama de “plata” (evidencias científicas) 2.
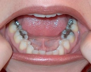
Las amalgamas de plata son la principal fuente de vapores de mercurio, los cuales se liberan a diario en las cavidades bucales, de niños, embarazadas, adultos y ancianos, se liberan aún pasados 15 o más años después de su extracción dentaria !
Es tal el impacto que se ha creado en España: La Asociación Española de Afectados por Mercurio de Amalgamas Dentales y otras Situaciones: 3.
Donde se encuentra el mercurio inorgánico metilmercurio:
- Amalgamas dentales, 98% de las personas afectadas
- Trabajadores de plantas cloroalcalinas,
- Trabajadores de empresas de recliclaje, de plantas incineradoras y crematorios, que extraen cinabrio u oro en la minería tradicional) se debe valorar el peso específico (a veces, basta ir descartando las distintas fuentes mercuriales hasta llegar al origen único o principal),
- Del mercurio presente en los grandes pescados grasos depredadores, como el pez espada, el atún, el bonito, el marrajo o tiburón, etc.,
- En vacunas con timerosal,
- En mariscos de concha: Se considera marisco de concha a todo aquel que tiene una valva: mejillones, almejas, vieiras, etc
- Por la rotura de termómetros,
- Tensiómetros,
- Lámparas de bajo consumo, etc.
Efectos de la intoxicación crónica de mercurio: 4
El toxicólogo alemán Dr. Max Daunder dice que la intoxicación crónica de amalgama es seguramente también una causa frecuente de infertilidad, del SID (Síndrome de Muerte Súbita infantil), de erupciones, de acné, de alergia alimentaria y de bronquitis crónica.
Para la Dra. Wilman, hay que partir del hecho de que:
El mercurio deprime el sistema inmunológico y está relacionado con enfermedades autoinmunes, como lupus eritematoso, liquen plano, enfermedad de Crohn, colitis ulcerosa, endometriosis, Alzheimer, depresión. El mercurio también incrementa el número y la severidad de las alergias. Otros síntomas son el cansancio, la agresividad, la pérdida de apetito, a veces la proteinuria (…). (p. 8).
A un cuarto de los alemanes les falta la enzima para luchar contra la intoxicación por amalgama, el Glutathion S-Transferasa(GST). Si existe esta enzima en el cuerpo en cantidades suficientes aguantamos la acumulación de amalgama durante más tiempo. Si el mercurio entra en el cuerpo y si es bueno el sistema de defensa, entonces sería eliminado por el cuerpo sin causar ningún daño. El mercurio acumulado causa daño, a veces aún después de treinta años. Cuándo y cómo se producen los daños, eso no lo sabemos hasta después, pero hay un grupo de individuos que son más sensibles. (p. 16).
Cambios neurológicos del sistema vegetativo:
1. Mareo
2. Irritabilidad
3. Poca motivación
4. Problemas para pensar
5. Pérdida de memoria (memoria a corto plazo; problemas para recordar nombres, teléfonos, citas, etc.)
6. Miedo a lo desconocido
7. Miedo a los demás
8. Problemas para hablar (tartamudeo)
9. Problemas para encontrar palabras adecuadas
10. Depresión e incluso el deseo de suicidarse
11. Cansancio, agotamiento
12. Atontamiento o sentido de andar en la niebla
13. Problemas de concentración
14. Los pacientes se encuentran como si tuvieran la gripe
15. Miedo al cambio
16. Insomnio y problemas para despertarse
17. Sensibilidad a la luz y a los sonidos
18. Pesadillas
19. Ataques de pánico
20. Asustarse con facilidad, sentir que la vida no tiene ninguna meta
21. Electrosensibilidad (mirar la televisión, trabajar con el ordenador, etc.)
22. Apnea
23. Temblores de frío
24. Sentir que uno se mueve en un barco o en un coche.
Cambios corporales:
1. Dolor de cabeza, como migraña u opresión
2. Irritación de la mucosa de la boca, la garganta, los senos nasales y paranasales
3. Cambio irregular de la tensión (a veces alta, a veces demasiado baja); la hipertensión más los espasmos y después la bajada total de la tensión
4. Insuficiencia del sistema inmunológico
5. Facilidad en contraer infecciones
6. Resistencia a todo tipo de ayuda: el descanso, las vacaciones, la psicoterapia, los antibióticos
7. El aumento de los síntomas después de tomar algo ácido o caliente
8. La flatulencia, la diarrea, los hongos, temblar
9. La disminución del número de linfocitos T
10. Trigeminoneuralgia = neuralgia del trigemino
11. Alteración periférica del riego sanguíneo (manos y pies fríos)
12. Dolor de corazón
13. Problemas de vista (no hay coordinación de la visión)
14. Tinitus (ruido en oídos o cabeza sin fuente externa)
15. Incontinencia e irritación de la vesícula urinaria
16. Neurodermitis
17. Alergias
18. Irritación, a veces como hormigas por el cuerpo
19. Caída del pelo
20. Problemas de coordinación
21. Defectos gingivales, infecciones, bolsas purulentas con decoloración azul o roja
22. Demasiada o poca saliva
23. Problemas de espalda
24. Dolor de los nervios musculares
25. Insuficiencia de zinc y de hierro
26. Arritmia cardiaca
27. Problemas del pulmón, con quemazón o con presión del tórax
28. Problemas de oído; problemas de comunicación
29. Aumento de sed
30. Aumento de hongos, psoriasis
31. Ojos secos
32. Irritación del tracto digestivo (quemazón en la primera parte del tracto digestivo)
33. Sensibilidad de los dientes al frío, al calor, al metal, a la presión
34. Dolor de la musculatura, reúma de los tejidos blandos
35. Problemas de la columna vertebral
36. Hiperventilación
37. Anemia
38. Gastritis
39. Sobrepeso por la acumulación de líquidos
40. Quistes en los riñones
41. Dolor de la vesícula biliar
42. Bronquitis
43. Tumor en la hipófisis
44. Úlcera de estómago
45. Malformación del feto durante el embarazo
46. Daño al hígado
47. Poliuria, oliguria
48. Cánceres por depresión del sistema inmunológico.
La Dra. Wilman habla también de posibles síntomas tardíos de la intoxicación por amalgamas:
1. EM (Esclerosis Múltiple)
2. Pérdida de visión
3. Demencia
4. Infarto
5. Flebitis
6. Sordera
7. Enfermedad de Alzheimer
Bibliografía:






